파란별한의원 임종우입니다.
피곤해지면 꼭 입안에 통증과 설염이 생깁니다.
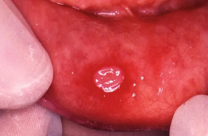
혀의 옆 아래 구강 내에 하얗게 패이고
크기도 다양합니다.
전형적인 아프타성 구내염의 증상입니다
일반적인 음료나
좋아하던 음식을 먹기도 너무 힘들게 됩니다.
종합병원에 가서 상담을 받아보고
처방을 받아서 복용해 보았지만
반응이 아예 없거나 일시적입니다.
어쩌면 좋을까요?
잦은 하복 통도 반복되는 경향도 보입니다
코로나 백신 이후로도 증가하는 유형입니다.
단순 설염 구내염 발생이 가능한 외부적인 요인으로는
이미 배제되어 있고
신경성이다 라고 진단받으시고는
양방적으로 설명이 안되는
면역 질환의 유형이라고 추측 가능합니다.
실제로도 진료 시 상담 시 시간도 오래 걸리고
저 역시도 해결을 위해서 고민이 많은 부분입니다.
제가 둔산동 특성상
이 자리에서 오랜 시간 있으면서
자주 뵙는 유형이기도 합니다.
환우분들께서 초진 때 호소하시는 내용은
일반적인 대증 치료 억제제로 반응이 없거나
일시적이고 호전이 더디거나 없어서 힘들어하십니다.
최근에는 여성분들의 경우 계절적인 추위에 더불어
전체적인 신체 상태가 좋지 못하시고
최근 몇 가지의 가족일 혹은 업무적으로 힘든 일이 가중되어
증상이 악화되어 내원하십니다.
만성적으로 고생하시는 분들은
본인이 이러한 상황이 되면 딱 입안에서 증상이 발생한다는 것도
알고 계십니다.
그렇다면 알보칠, 오라메디도 듣지 않는데 어떻게 하면 될까요?
결국은 어떻게 회복력을 빠른 시간 내에 확보하는 싸움입니다.
그럼
회복력에 좋다는 건강기능 식품 등이 도움이 될 것 같은데
비용 지출은 이미 하셨지만, 반응이 미미합니다.
왜냐하면,
사람마다 회복력을 최대화 시킬 수 있는 공략법이 다릅니다.
한의약의 최고 강점이 이 부분이라고 생각합니다.
감정적으로 힘든 부분이 신체화 표현으로 나타난다면
감정적인 부분을 상담을 통한
혹은
한의약의 강점인 예민도와 신체화 증상과의
연결고리를 끊어줄 수 있게 해주는 처방
혹은
신진대사율이 극도로 떨어져 있는 분들의 경우
단지 신진대사율로 판단되면
체온을 상승시켜줄 수 있고 활력도를 높여 주는 처방
제가 접하는 분들의 경우에 빈도 수가 점차 증가하는
디아제팜 졸피뎀 혹은 SSRI 계열의 약을 어쩔 수 없이 복용하시고
잠을 자는 것도 아니고 약이 없으면 잠이 안 와서 미치겠고
이러한 유형의 분들의 경우
조금 더 장기간 약물의 사용량을 줄여나가기 위한
조심스럽고 중간 확인이 세세하게 필요한
장기 계획이 필요하기도 합니다.
상담 과정 중에도 그간의 이력을 들으면
정말 힘드셨겠구나 하는 공감이 되기에
의료인이면서도 인간이기에 같이 힘들어할 때가 많습니다.
이러한 악순환을 끊을 수 있게 하는 것이
소중한 몸을 위해서 좋은 방법이라고 제안 드리고
이렇게 치료 과정을 진행하고 있습니다.
좋은 치료
또한 치료 과정 중에 편해지고
복용약이 무엇인지 어떻게 끊어내야 하는지
잘 파악하고 점차 줄여나가서
약 복용 없이 건강 상태를 유지하실 수 있게
언제나 이곳에서 웃는 얼굴로 최선을 다하고 있습니다.
힘들면 내원하셔서
치료적으로도 당연하지만
감정적으로도
좋은 기분으로
그래 이렇게 한번 해보자 하는 생각 드실 수 있으실 겁니다.
원내에서 뵙겠습니다.




